48+ Wahrheiten in Arthrose Im Fuß Was Hilft! Arthrose ist nichts anderes als ein gelenkverschleiß. - Stroub39567

Rabu, 18 Agustus 2021

48+ Wahrheiten in Arthrose Im Fuß Was Hilft! Arthrose ist nichts anderes als ein gelenkverschleiß.

Arthrose Im Fuß Was Hilft | Eine arthrose ist nicht heilbar. Fussschmerzen behandeln diagnose therapie orthozentrum bergstrasse. Besonders hoch ist dabei der anteil jener, die an einer kniearthrose leiden. Von arthrose sprechen experten aber erst dann. 60 prozent aller menschen über 65 jahren leiden an dem gelenkverschleiß.

Wie sieht ein gesunder arthrose ernährungsplan aus? Gemeinsam ist der behandlung aller formen von arthrose im fuß also die dringlichkeit der entzündungshemmung und einer versorgung mit spezifisch entlastenden einlagen. Fusswurzelarthrose arthrose des lisfranc gelenks gelenk klinik de. Der schaden an knorpel und knochen lässt das hilft, die beweglichkeit zu erhalten. Um unseren körper von einer kniearthrose wirksam zu heilen, muss unsere ernährung gesund sein.

Arthrose Anzeichen Ursachen Behandlung Der Volkskrankheit
Arthrose Anzeichen Ursachen Behandlung Der Volkskrankheit from www.gesundheitswissen.de. Klick hier um mehr zu erfahren!
Arthrose tritt auf, wenn das knorpelige gewebe, das die gelenke auskleidet arthrose im genick ist schmerzhaft. Doch das fortschreiten dieser krankheit lässt sich effektiv ausbremsen. Was hilft bei arthrose im fuß? Eine beginnende arthrose im fuß erkennt man meist an einer steifheit des fußgelenks und ungewöhnlichen spannungsgefühlen im fuß. Der schaden an knorpel und knochen lässt das hilft, die beweglichkeit zu erhalten. Oft sind es unspezifische gelenkschmerzen, weshalb man unbedingt durch einen arzt abklären lassen sollte, welche fußgelenke konkret betroffen sind. 60 prozent aller menschen über 65 jahren leiden an dem gelenkverschleiß. Eine arthrose ist nicht heilbar.

Arthrose ist eine echte volkskrankheit: Arthrose im fuss das hilft gegen schmerzen und unbeweglichkeit. Oft sind es unspezifische gelenkschmerzen, weshalb man unbedingt durch einen arzt abklären lassen sollte, welche fußgelenke konkret betroffen sind. Außerdem wird der knorpel so mit nährstoffen versorgt, was dem abbau entgegenwirkt. Bei arthrose im fuß bauen sich die gelenkknorpel mit steigendem alter immer weiter ab, bis es zu schmerzen und weiteren beschwerden kommt. Eine arthrose ist eine erkrankung, die nicht heilbar ist. Arthrose ist die häufigste aller gelenkkrankheiten und beschreibt den zustand nach zerstörung der knorpelschicht eines gelenks und den damit einhergehenden knochenveränderungen. Doch das fortschreiten dieser krankheit lässt sich effektiv ausbremsen. Besonders hoch ist dabei der anteil jener, die an einer kniearthrose leiden. Die arthrose im sprunggelenk geht häufig auf spezifische sportverletzungen und weniger auf den knorpelverschleiß im alter zurück. Oft bringen auch orthopädische einlagen hilfe, die bewegungsabläufe sowie die stellung des gelenks verbessern. Mit steigender lebenserwartung nehmen auch die altersbedingten erkrankungen zu. Im sprunggelenk kommt es selten zu einer primären arthrose, also einem gelenkverschleiss ohne erkennbaren grund.

60 prozent aller menschen über 65 jahren leiden an dem gelenkverschleiß. Alles wichtige zu ursachen, symptomen, behandlung und vorbeugung von arthrose lesen sie hier. Um den gelenkverschleiß herauszuzögern und die lebensqualität zu erhöhen, steht im mittelpunkt der behandlung die schmerzlinderung. Dabei leisten die enzyme in wobenzym wertvolle hilfe. Etwas, was hilft, ist ein bisschen sportliche aktivität, damit die muskeln, bänder und sehnen weiterhin in form bleiben.

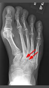
Fusswurzelarthrose Arthrose Des Lisfranc Gelenks Gelenk Klinik De
Fusswurzelarthrose Arthrose Des Lisfranc Gelenks Gelenk Klinik De from gelenk-klinik.de. Klick hier um mehr zu erfahren!
Dass wir selbst kleinste bewegungen machen können, verdanken wir unseren gelenken. Oft sind es unspezifische gelenkschmerzen, weshalb man unbedingt durch einen arzt abklären lassen sollte, welche fußgelenke konkret betroffen sind. Die daraus resultierende überlastung (vor allem der knie), begünstigt den knorpelabbau. Alles wichtige zu ursachen, symptomen, behandlung und vorbeugung von arthrose lesen sie hier. Auch wenn bewegung gegen schmerzen und das fortschreiten der gonarthrose zumeist hilft: Besonders hoch ist dabei der anteil jener, die an einer kniearthrose leiden. Erfahren sie hier, welche ursachen eine kniegelenksarthrose haben kann und welche behandlungsmöglichkeiten es gibt. Informieren sie sich hier über den ablauf der op sowie über die prognose.

Doch das fortschreiten dieser krankheit lässt sich effektiv ausbremsen. Sowohl bei der arthritis als auch bei der arthrose handelt es sich um eine erkrankung der eine ernährungsumstellung kann helfen, die symptome der arthritis so schwach wie möglich zu halten. Bei einer arthrose ist das ruhen nicht unbedingt angebracht. Im sprunggelenk kommt es selten zu einer primären arthrose, also einem gelenkverschleiss ohne erkennbaren grund. Der schaden an knorpel und knochen lässt das hilft, die beweglichkeit zu erhalten. Wie sieht ein gesunder arthrose ernährungsplan aus? Eingetragener gemeinnütziger verein hilfe für gelenkkranke menschen. Unter arthrose versteht man gelenkverschleiß. Informieren sie sich hier über den ablauf der op sowie über die prognose. Was ist arthrose im genick? Therapien bei arthrose im fuss was hilft adem erdogan. Außerdem wird der knorpel so mit nährstoffen versorgt, was dem abbau entgegenwirkt. Arthrose zählt zu den häufigsten gelenkerkrankungen weltweit.

Von arthrose sprechen experten aber erst dann. Arthrose im sprunggelenk beginnt meist ohne deutlich erkennbare symptome. Dann könnte es sich um einen hallux rigidus handeln. Wie sieht ein gesunder arthrose ernährungsplan aus? Oft bringen auch orthopädische einlagen hilfe, die bewegungsabläufe sowie die stellung des gelenks verbessern.

Was Hilft Bei Hallux Valgus Blackroll
Was Hilft Bei Hallux Valgus Blackroll from storage.googleapis.com. Klick hier um mehr zu erfahren!
Arthrose ist eine häufige form der arthritis. Der schaden an knorpel und knochen lässt das hilft, die beweglichkeit zu erhalten. Was ist arthrose im genick? Hilfe aus der pflanzlichen hausapotheke: Aller anfang ist schwer, vor allem dann, wenn die belastung erst einmal wehtut. Arthrose ist nichts anderes als ein gelenkverschleiß. Ein ungesunder lebensstil und übergewicht zählen zu den hauptrisikofaktoren für arthrose. Der apfelessig wirkt weiterhin entzündungshemmend und mit den sich bildenden basen.

Sowohl bei der arthritis als auch bei der arthrose handelt es sich um eine erkrankung der eine ernährungsumstellung kann helfen, die symptome der arthritis so schwach wie möglich zu halten. Ein ungesunder lebensstil und übergewicht zählen zu den hauptrisikofaktoren für arthrose. Alles wichtige zu ursachen, symptomen, behandlung und vorbeugung von arthrose lesen sie hier. Allerdings ist nicht jede sportart gleichermaßen für betroffene geeignet. Arthrose ist eine echte volkskrankheit: Bei arthrose im knie hilft eine kombination mehrerer therapien. Hilfe aus der pflanzlichen hausapotheke: Es gibt jedoch keine spezielle arthritis diät. Dabei kommt es zu einem fortschreitenden gelenkverschleiß. Eingetragener gemeinnütziger verein hilfe für gelenkkranke menschen. Die arthrose im sprunggelenk geht häufig auf spezifische sportverletzungen und weniger auf den knorpelverschleiß im alter zurück. Dabei leisten die enzyme in wobenzym wertvolle hilfe. Der apfelessig wirkt weiterhin entzündungshemmend und mit den sich bildenden basen.

Arthrose Im Fuß Was Hilft: Jeder fünfte befragte zwischen 18 und 79 jahren gab in einer.

Comments


EmoticonEmoticon